|
Otras
Noticias
|
|
|
|
|
|
|
|
Llega la tercera edición de La Pyrénnée |
19/08/2009
|
|
|
Los días 29 y 30 de agosto en el Pirineo francés |
Los
días 29 y 30 de Agosto tendrá lugar la tercera edición
de La Pyrénée, un trial de dos días de duración
en las bonitas montañas del Pirineo francés, concretamente en
la estación de esquí de La Mongie, justo al otro lado de la
frontera con España, cerca de Lourdes y Tarbes, junto al Pic du Midi,
por donde discurre el famoso col del Tourmalet.
Organizado por el Trial Club Lourdais junto con Esedeux, con el conocido Bernard Estripeau al frente y que se disputará según su formato de reglamento Openfree sobre un recorrido de 8 kilómetros, con varias categorías: Minime, Espoirs, Juniors, Golden Gentleman, Grand sages y Féminas.
Esto significa que habrá puertas de distintos colores en las zonas y se puede pasar por cualquiera de ellas, aunque algunas darán más puntos que otras al final de la zona, al igual que los pies restarán puntos en cada zona, por lo que en este trial el vencedor es quien logre una mayor puntuación. por tanto es apto para todos los niveles e incluso quien quiera puede intentar superar pasos de categorías superiores e incluso de los top.
Los precios de inscripción son bastante ajustados, costando 90 Euros la participación en los dos días o 45 Euros en uno sólo, aunque los menores de 16 años tienen tarifas reducidas de 70 y 35 Euros para dos y un día respectivamente.
La
inscripción va bastante bien y ya quedan pocas plazas, se puede realizar
contactando en el email: esdeux@trial-indoor.com.
Plazas hoteleras quedan en algunos hoteles y se pueden obtener importantes
descuentos llebdo de parte de la organización, como habitaciones para
dos personas por sólo 30 Euros la noche en ligar de 51.
Las salidas se darán de 9:45 a 11 horas y al final de cada etapa habrá aperitivo para todos los participantes en la cima del Pic du Midi, de 2.877 metros.
Varios pilotos top parece que ya han confirmado su asistencia, como los ingleses Jame Dabill, Michael Brown, Jack Challoner y Michael Richarson, así como los franceses Christophe Bruand, Loris Gubian, Alex Ferrer, Tanguy Mottin, Julien y Nicolas Perret Karim entre otros. Entre los españoles probablemente se contará con la presencia de Pol Tarrés y algunos otros pilotos veteranos.
![]() |
![]() |
|
Finalizó la Dougie Lampkin Master Class |
18/08/2009
|
|
|
Dougie se sigue recuperando de su lesión |
Dougie
Lampkin estuvo de nuevo en acción la pasada semana, aunque sin moto,
cuando cumplió con su rol de monitor en los cursos de su escuela de
verano celebrados en Addingham Moorside. Dougie, que todavía tenía
su muñeca izquierda escayolada, se reunió con James Dabill,
Jack Challoner, Martin Lampkin, Harry Lampkin y Woody Hole, un grupo de instructores
de élite que ofrecieron tres días de entrenamiento, empezando
el viernes por la mañana.
Alrededor de 20 pilotos cada día con diferentes niveles y edad se unieron a Dougie y sus instructores para un programa de aprendizaje de trial que permitió a los participantes disfrutar cuatro horas de prática cada día.
Un tiempo fantástico y unas vistas espectaculares de la ciudad de residencia de Dougie, Silsden, crearon el ambiente adecuado para la 11ª edición de este evento, ya que el primer cursillo tuvo lugar en 1999. Los pilotos, algunos de los cuales habían viajado desde lugares tan lejanos como Dubai o Cornwall, fueron agasajados con una barbacoa de bienvenida facilitada por Red Bull en cada uno de los tres días de actividad.
Dougie
estuvo ausente una parte de la sesión del viernes por la mañana
para asistir a una cita en el Airedale Hospital para una revisión del
hueso roto en su muñeca izquierda. Unos rayos-X y el examen del médico
confirmaron que el hueso está bien colocado y debe soldar sin necesidad
de una operación, como inicialmente se diagnosticó el día
del accidente.
Lampkin acudió a una clínica especial a principios de semana donde le dieron un tratamiento láser, con la intención de acelerar el proceso de soldadura. Aunque nadie lo puede asegurar en este momento, es posible que la lesión pueda estar ya suficientemente curada para que Dougie pueda participar en la penúltima prueba del Campeonato del Mundo en España, durante la primera semana de Septiembre.
Dougie dijo: "El cursillo fue muy bueno una vez más, el tiempo francamente ayudó, y se vieron muchas caras alegres al final de cada día."
"Aunque no pude montar, el curso fue una buena distracción para mi y me ayudó a mantenerme motivado a pesar de la lesión que por supuesto me ha tenido bastante retenido."
"Si me hubieran operado la muñeca, habría tenido que estar inactivo por lo menos seis semanas, lo cual habría dado por concluida la temporada. Permaneciendo con la escayola y con el tratamiento de láser tengo la esperanza de poder montar otra vez a principios de septiembre quizás aún llevando una escayola reducida" finalizó Dougie.
|
Record mundial en Irán de subida en altura en moto |
17/08/2009
|
|
|
Al volcán Damavan, de 5.761 metros |
El
volcán Damavan es el
pico más alto de Oriente Medio y el pico volcánico cónico
más alto del mundo, con una altura de 5.761 metros. Se trata de un
volcán relativamente joven (entre el final del periodo terciario y
principio del cuarternario).
En 1988 se intentó la subida a este pico a los mandos de varias Montesa Cota 348 pero se toparon con un dificultoso camino y al no poder subir más de 4.800 metros decidieron bajar sin coronar la cumbre.
Veinte años después, el fracaso de aquella expecición animó al trialero Dariush Ghorbani a intentarlo. Nacido en Teherán el 11 de mayo de 1987, Dariush es el actual campeón de trial de Irán, habiendo logrado el campeonato nacional de su país en cinco ocasiones ininterrumpidas, desde 2005 a 2009.
Así, los días 13 y 14 de Agosto Dariush quiso intentar subir a los picos volcánicos mas altos del mundo con una Montesa Cota 315R, con la ayuda de su compañero en el equipo Montesa de Irán, Alireza Mashhadi Tafreshi.
![]() |
![]() |

Por
el camino encontrarían hielo y lava, manantiales termales, y gran variedad
de sedimentos y ceniza volcánica, con el peligro añadido de
las erupciones frecuentes y terrenos muy resbaladizos, ya que el volcán
está en activo.
Tomando la salida desde el pie de la montaña, donde hay hermosas llanuras y lagos, el primer día lograba subir hasta los 4.800 metros para descansar allí y lograr el periodo de aclimatación a la altura necesario para la ascensión final. Al día siguiente iniciaría la subida a la cumbre a las 18:45 horas. El camino era duro y peligroso, especialmente por la falta de oxígeno, lo que podría causar dificultades tanto en la respiración del piloto como en el funcionamiento de la Montesa, teniendo que regular perfectamente la carburación. Al final lograron el objetivo batiendo el record mundial de subida en moto al pico volcánico cónico más alto del mundo.
Tan sólo unos meses antes, un grupo de trialeros chilenos había logrado el record absoluto de subida en altura en moto, (ver noticia en esta misma sección de fecha 10 de abril de 2008) también sobre trialeras, con Cota 4RT, en la subida al Volcán Ojos del Salado, en la frontera de Chile y Argentina, ascendiendo hasta 6.200 metros, batiendo a su vez el anterior record mundial del 13 de Mayo de 2002 logrado por un grupo chino en las laderas del Everest, en el Tibet. Como véis las trialeras son las motos capaces de llegar más alto.

![]() |
![]() |
|
Las vacaciones de Fujinami |
13/08/2009
|
|
|
Haciendo enduro extremo y sin parar de entrenar |
Esta
vez os traemos también curiosas noticias sobre las "vacaciones"
de algún piloto mundialista, en este caso de Takahisa Fujinami, que
ha preferido quedarse estos días en su residencia de Girona y seguir
con sus entrenamientos, aunque en alguna ocasión en un plan diferente
y quizás más divertido por eso del cambio de aires.
Eso es lo que hizo precisamente con el piloto de enduro oficial de Gas Gas, Jordi Figueras y otros amigos.
En una crono extrema de enduro, Fuji combinó vueltas con su moto de trial y con su moto de enduro, realizando pasos espectaculares al típico estilo Fujigaassss, y logrando mejores tiempos con su trialera, la Montesa Cota, que con la Honda CRF.
![]() |
![]() |
![]() |
El
tramo de enduro se componía de obstáculos diversos como troncos,
grandes bloques de piedras sueltas, neumáticos de tracetor, bidones,
o grandes rulos metálicos, que no se resistieron al japonés
con ninguna de las dos motos.
Tras los entrenos en el tramo cronometrado, Fuji se dedicó a darle al mango de su CRF en compañía de Jordi y más amigos y aprovechó algunos terraplenes para hacer locuras de las suyas, de las que nos deleita en eventos como la Montesada, pero a los mandos de la moto de enduro... piruetas en el aire, saltos...
Fuji está loco y se lo está pasando en grande estas vacaciones, tal como podéis ver en estas fotos!
![]() |
![]() |
![]() |
|
Se inaugura el nuevo Parc Trial de Arinsal (Andorra) |
12/08/2009
|
|
|
Un área para trial de acceso libre con todo tipo de zonas |
Una
gran noticia la que nos llega de la mano del Moto Club Arinsal y la Federación
Andorrana de Motociclismo, se trata de la apertura del nuevo Parc Trial en
Arinsal, un área para practicar trial y además de acceso gratuito,
que estará en marcha desde el próximo 14 de agosto.
De momento estarán abiertas un par de fases y a mediados de septiembre estará ya abierta todo el área. Se trata de unos terrenos en los que los aficionados al trial podrán encontrar zonas de todo tipo para practicar su deporte, incluidas algunas zonas de agua y además con pasos para todos los niveles y edades.
Pero eso no es todo, en el Parc Trial Arinsal se realizarán también cursos de trial gratuitos, a cargo de Jonathan Almarcha como monitor.
Para ello sólo habrá que estar en posesión de la licencia federativa, pero si no la tienes puedes sacar una para el curso bastante económica, por 20 Euros un día o por 30 para dos días.
El
primer curso será los días 15 y 16 de agosto, el segundo será
los días 29 y 30 del mismo mes, y el tercero los días 5 y 6
de septiembre, todos ellos en horario de 9 a 13 horas.
Para inscribirte sólo tienes que contactar con la Federación Andorrana en el email: fma@andorra.ad o en el teléfono +376 890370, o con el MC Arinsal en el email: trialarinsal@andorra.ad.
Magnífica iniciativa, y es que los andorranos saben como nadie combinar el deporte con la ecología sostenible, el desarrollo económico y el respeto a la naturaleza, como han demostrado con su promoción del esquí durante tantos años y ahora también con el trial y otros muchos deportes de montaña.
Como podéis ver, pese a la mala noticia de la suspensión de los 2 Días de Arinsal de este año, el Moto Club Arinsal sigue trabajando mucho por y para el trial y para sorprenderos con muchas novedades en los 2 Días de Arinsal 2010. Gracias!!!
|
Ofertas MCE para el mes de agosto |
07/08/2009
|
|
|
Camisetas y chaqueta |
Ni siquiera en verano descansan nuestros amigos de MCE "Motorcycle Experience Shop", y para este mes de agosto quieren presentaros a todos los lectores de Todotrial.com nuevas ofertas en equipación trialera, como siempre, de lo más interesantes.
Las ofertas para agosto cuentan con tres interesantes elementos de la gama XC-Ting, por un lado las camisetas Section Evolution y FMX Pro, cuyas imágenes podéis ver en esta noticia, y por otro lado la chaqueta Section, que aunque ahora no la necesitemos, es una buena oportunidad para cuando llegue el invierno.
Aprovechad la ocasión, ya sabéis, en www.mce-shop.com, en sus instalaciones de Andorra la Vella, en la Baixada del Molí, 43, o también en los teléfonos +376 860 082 y 360 912, y en el email: mce@mce-shop.com.
|
Dougie Lampkin lesionado |
07/08/2009
|
|
|
Sufre una rotura en la mano izquierda |
Dougie
Lampkin tuvo una desafortunada caída el domingo pasado, justo cuando
estaba entrenando a primera hora de la mañana momentos antes de tomar
la salida en el Mackenzie
Trophy Trial, valedero para el Campeonato Británico y cuyo reportaje
podéis ver pinchando aquí.
En la caída Dougie sufrió una seria lesion en su mano izquierda que le impidió participar en el trial. Lampkin fue trasladado inmediatamente al Hospital Airedale cercano a Silsden, su ciudad de residencia ,donde después de un analisis médico se confirmó lo que él mismo había sospechado, la dislocación de su dedo índice izquierdo.
Una placa de rayos X desveló que Dougie también sufría rotura de un hueso en la union de la mano con la muñeca. El hueso desplazado había a su vez forzado el dedo índice a una posición sobre extendida.
Obviamente y con un gran dolor Lampkin tuvo que sufrir los esfuerzos del doctor para devolver el hueso a su sitio. Al día siguiente, el lunes, Dougie fue operado para recolocar el hueso roto en su posición para asegurar una correcta soldadura a largo plazo. Ese mismo día, el piloto de Beta volvía a casa aunque con una férula para mantener el hueso en su sitio. Desde su casa en Yorkshire, el piloto de 33 años trataba de ser positivo con la situación.
"Espero que el doctor pueda concretarme pronto el tiempo que necesito para recuperarme después de la operación. Desde mi punto de vista se que necesitaré más de un mes para ponerme otra vez en forma y poder participar en la próxima prueba del Mundial en España, así que trataré de pedirle que haga lo posible para que así sea."
"Nueve de cada diez veces no te pasa nada en este tipo de accidentes, pero esta vez no fue la buena. Cuando choqué con el escalón, pensé que podría saltar de la moto sin problemas, pero al final terminé arrastrando la moto abajo en la caida conmigo. Cuando vi que la moto se me venía encima me di cuenta que la caída sería problemática. Todavia tengo mucho dolor, pero espero estar mejor pronto".
Dougie ha confirmado que estará presente y tomará parte en su Cursillo de Trial Master Class a final de esta semana, aunque sin poder pilotar.
|
Curso de verano de Jeroni Fajardo en Alemania |
06/08/2009
|
|
|
Con una veintena de pilotos |
Jeroni
Fajardo se encuentra en la localidad de St. Wendel, en Alemania, impartiendo
unos cursillos de trial organizados por Univega.
El piloto de Beta está disfrutando de su estancia en Alemania enseñando la técnica del trial a una veintena de personas. Los alumnos tienen ya un nivel medio y el objetivo es que con Jeroni mejoren su técnica y conocimientos sobre este deporte.
Por suerte, el tiempo les acompaña con una cálida temperatura de 30ºC, hecho que hace más llevadero las siete largas horas que pasan sobre la moto en cada jornada.
Su experiencia sobre la moto y sus ganas de mejorar día a día contagian a los participantes de todas las edades; cosa que ha hecho que su sponsor Univega no dudara en organizar estos cursillos para toda la afición alemana.
A principios de la semana que viene Jeroni volverá a los entrenamientos para preparar las dos últimas pruebas del Campeonato del Mundo que tendrán lugar a principios de septiembre.
|
Adam Raga se recupera de su operación en compañía de sus amigos |
29/07/2009
|
|
|
Disfrutó junto al torero trialero "El Fandi" y en una reunión de clásicos |
Como
ya sabréis los lectores de Todotrial.com por la noticia que publicamos
el pasado 17 de julio, Adam Raga fue operado de una lesión de rodilla
recientemente, aprovechando el parón veraniego, y con el objeto de
estar plenamente operativo cuando se reinicie la temporada a comienzos de
septiembre.
Su recuperación está siendo inmejorable y muy rápida y gracias a ello puede disfrutar ya de unas merecidas vacaciones en compañía de sus amigos o realizando animadas actividades, aunque aún sin ejercicio físico ni entrenamientos.
De este modo aprovechó el pasado viernes 24 para acudir junto a su familia a presenciar la quinta corrida de la feria taurina de julio en Valencia, y compartir la jornada con uno de los protagonistas de la misma, David Fandilla, "El Fandi". El Fandi, buen amigo de Adam y muy aficionado al trial, que practica con su Gas Gas Raga Réplica 2009, fue precisamente el torero que realizó la mejor faena de la tarde, llevándose el triunfo con el corte de una oreja al toro que cerraba la plaza, único noble y con clase de la jornada.
![]() |
![]() |
El
torero granadino y el trialero catalán aprovecharon su estancia en
Valencia para salir juntos a la caida de la noche y compartir animadas charlas
junto a otros amigos y familiares, como veis en la primera foto.
Un par de días después, y ya de vuelta en Ulldecona, Adam no quiso perderse la reunión de coches clásicos que se celebró el domingo 16 en Les Cases d'Alcanar, y que llegaba a su tercera edición organizada por el C.E. Vehicles Classics Ulldecona. En la foto podemos de la izquierda verle junto a su madre en un bonito AC Cobra con motor Ford de 1966 propiedad de Angels Sans Sagristá. Como podéis imaginar, la jornada fue bastante calurosa.
Posteriormente Adam acudió en Alfara de Carles a la inauguración de la exposición "La muntanya màgica" presentada por el alpinista Oscar Cadiach, a quien podemos ver en una de las imágenes superiores junto a Adam y otras personalidades como el el Presidente de la Diputación de Tarragona el Sr. Josep Poblet.
|
Buen resultado del cursillo del Motoclub Montbui |
24/07/2009
|
|
|
Se celebró del 13 al 17 de julio |
La
semana del 13 al 17 de julio el Motoclub Montbui realizó un cursillo
de trial en el área que el motoclub tiene en la población igualadina
de Sta. Margarida de Montbui.
El cursillo estaba destinado a niños de 6 hasta los 11 años, aunque las plazas eran limitadas todo el que lo deseó pudo formar parte en el cursillo donde pudimos encontrar a buena parte de pilotos de la escola catalana de trial y a un buen grupo de pequeños pilotos llegados de fuera de Cataluña (Valencia y Alicante).
Han sido cinco días muy intensos donde todos pudieron mejorar su técnica de pilotaje aparte de fomentar los valores de la convivencia. También hay que decir que hubo tiempo de todo, aprender mecánica, ir a la piscina,
Todo esto estuvo dirigido por la experiencia en multitud de cursillos de Ciriac Gradós, quien también pudo contar con la ayuda de la sub-campeona de España Mireia Conde, aparte de Ignasi Gil-Vernet y Albert Solé.
Los dos últimos días recibieron la visita de Lluis Gallach (ex campeón de España y actual mochilero de Albert Cabestany) y su hijo Nicolai, que no se bajó de la moto en los dos días. Una visita muy de agradecer por sus expertos consejos.
El próximo cursillo que el Motoclub Montbui realice en su área será para navidades, os mantendremos informados.
|
Cambios en los calendarios de los Campeonatos de España |
24/07/2009
|
|
|
Arnedillo sustituye a Lagunilla del Jubera y Pola de Gordón ya tiene fecha |
El
calendario del Campeonato de España de Trial sufre algunas alteraciones,
tal como ha anunciado la Real Federación Motociclista Española.
En primer lugar, la cuarta prueba puntuable para el Campeonato de España TR1, TR2 y Junior, prevista para el día 4 de octubre, se celebrará definitivamente en la localidad de Arnedillo (La Rioja), en lugar de Lagunilla del Jubera, como estaba inicialmente previsto, siendo organizada por el Moto Club Calahorra.
Por otro lado, la próxima prueba de la Copa de España de Cadetes, TR3, Féminas y Juvenil 80 y 125, programada en la localidad leonesa de La Pola de Gordón cuya fecha tuvo que ser aplazada por motivos medioambientales, se celebrará definitivamente el día 18 de octubre, organizado por el Moto Club Trial León.
No
dejéis de apuntar los cambios en vuestra agenda deportiva.
|
Gran éxito del 6º cursillo Beta Trueba |
23/07/2009
|
|
|
Los participantes disfrutaron de magníficas jornadas de Trial, Enduro, Trialsín y MTB |
La
finca rural de Can Font del Gaya, en las inmediaciones de Terrassa y muy cerca
de Barcelona fue el escenario ideal para la celebración del sexto cursillo
Beta Trueba, que este año, además de Trial y Enduro, acogió
las especialidades de Trialsín y Mountain Bike, escuela perfecta para
los más jóvenes como paso previo a la hora de iniciarse en las
disciplinas del motor.
Bajo la batuta de monitores de lujo como Jeroni Fajardo, reciente vencedor de la última prueba del Campeonato del Mundo de Trial y expertos como Pepe Sáez, Dani del Valle y Xavi Vilaró, inscritos de todas las edades pudieron disfrutar de unas fructíferas y positivas jornadas de motociclismo, mejorando sus habilidades encima de la moto y aprendiendo secretos de puesta a punto y mantenimiento de la motocicleta en las distintas especialidades, pero sobre todo, viviendo un ambiente inmejorable con la mejor compañía.
Como ya es habitual, el cursillo se cerró con una comida conjunta entre participantes y organizadores durante la cual, el máximo responsable de la marca en España, Antonio Trueba, aprovechó para agradecer personalmente la asistencia y repartir los correspondientes diplomas y regalos.
![]() |
![]() |
|
G2F distribuye esta edición limitada de Toni Bou |
23/07/2009
|
|
|
50 láminas firmadas por el propio Toni Bou |
G2F
Media anuncia la distribución en exclusiva de la lámina del
actual Campeón del Mundo Toni Bou, que podemos ver a la derecha. Una
edición limitada a tan solo 50 copias, estando cada una firmada y numerada
por el propio Toni, algo que se convertirá en pieza de colección
para los más aficionados al Trial.
Toni ha sido magnificamente dibujado por la emergente artista Jacqueline McCumiskey, de Irlanda del Norte. Jacqueline ha creado recientemente Sport-Art (www.sport-art.biz) que ha lanzado precisamente con este dibujo a carboncillo en blanco y negro del Campeón del Mundo de Trial Toni Bou. Habiendo dibujado a carboncillo simplemente por placer a lo largo de su vida, esta nueva y excitante iniciativa ha surgido de su entusiasmo y pasión por entender y observar a la gente a través de su larga experiencia en el dibujo.
"Quería capturar la mirada de concentración de Toni en el dibujo, centrando la atención en sus pensamientos en ese preciso momento. Me encantó su reacción con el dibujo, cuando recientemente tuve la oportunidad de presentárselo en el Gran Premio de Andorra." Dijo Jacqueline.
Cada
lámina impresa mide aproximadamente 300 x 300 mm incluyendo un borde
negro, listo para ser enmarcado al gusto de cada uno. Limitado estrictamente
a una copia por persona, esta pieza de historia ilustrada representa una buena
inversión en tan sólo 99 Libras más gastos de embalaje
y envío. Para reservar una copia, tienes que hacerlo en www.g2fshop.com
o llamando al teléfono + 44 (0) 161 763 6660.
|
Scorpa desaparece definitivamente |
22/07/2009
|
|
|
Quiebra la marca francesa |
Scorpa,
una de las cinco marcas de motos de trial ha llegado a su fin. La marca francesa
desaparece por quiebra provocando el despido de 23 empleados y numerosos clientes
y proveedores con deudas impagadas por parte de la marca desde hace más
de un año.
Scorpa ya venía arrastrando problemas económicos desde hace tiempo, que causaron la desintegración de su equipo mundialista, el no fichaje de pilotos ni siquiera en el campeonato francés, o la venta del camión de carreras. La inclusión en su plantilla de algún directivo español ex de Gas Gas empeoró aún más las cosas y los impagos.
En varias ocasiones se ha intentado salvar la marca como ocurrió el pasado 16 de enero tras la declaración de Suspensión de pagos, tras la cual Scorpa pudo continuar su actividad durante casi seis meses.
"Estoy triste porque durante los últimos dos meses, se han vendido doscientas motos. Por un problema con los bancos, una marca desaparecerá después de 15 años de existencia ", dijo Pierre-Louis Amancic.
Finalmente
su situación ha sido insostenible y se ha propuesto como medida del
Tribunal de Comercio de Nîmes el plan de recuperación propuesto
por las marcas Gas Gas y Sherco, al parecer junto con algunos inversionistas
italianos de Gas Gas.
Estas se harían cargo de la fábrica y absorverían parte de sus empleados.
Para el representante de Scorpa, Pierre-Louis Amancic, esta decisión no ha sido ninguna sorpresa, ya que se veía venir. "Tengo la esperanza de que ser asumidas por Gas Gas y los italianos sea positivo, y poder mantener la fábrica en el sitio de Alès y el 75% de la mano de obra. Yamaha también ha dado su acuerdo para suministrar sus motores.
Scorpa siempre se caracterizó por su innovación desde sus inicios a comienzos de los años 90, en una interesante trayectoria que ha llegado a su fin. La desaparición de Scorpa es definitiva, una triste noticia para el pequeño mundo del trial que lamentarán especialmente el grupo de clientes y aficionados que habían encontrado en Scorpa unos modelos acordes a su filosofía trialera.
|
Abiertas las inscripciones de los 2 Días de Trial del Valle de Camprodón |
21/07/2009
|
|
|
Se celebrarán los días 22 y 23 de agosto |
Como
os informábamos hace unos días, un nuevo trial de larga duración
se va a estrenar el próximo mes de agosto en un lugar incomparable,
la localidad de Camprodón, en el Pirineo de Girona, muy cerca de donde
se disputan los famosos Tres Días de Santigosa, y contando además
con la reconocida experiencia y buen hacer de los mismos organizadores, el
veteranísimo Moto Club Abadesses.
De momento ya está todo preparado y se acaba de abrir el plazo de inscripción, por lo que ya podéis ir realizando los trámites a través de la web del Moto Club Abadesses, www.motoclubabadesses.com donde encontraréis toda la información para ello, así que no lo dejéis para luego.
La fecha límite para inscribirse es el día 7 de agosto, el coste de la misma es de 120 Euros en plazo y de 150 fuera de plazo. Incluye la comida de los dos días y dos camisetas.
Los Dos Días de Trial del Valle de Camprodón se celebrarán los días 22 y 23 de agosto en el área privada de trial, situándose la salida en la casa de colonias de Puig Francó en la urbanización Font Rubí, y promete ser un trial magnífico en un entorno ideal y de gran belleza.
Con treinta zonas en un recorrido de unos quince kilómetros al que se darán dos vueltas, siendo la segunda jornada más corta. Habrá tres niveles de dificultad, rojo, azul y amarillo, para que todos los aficionados puedan encontrar el más adecuado a su nivel de pilotaje.
No dejéis para última hora las inscripciones, pues las plazas son limitadas a 180 pilotos, y se prevé que la asistencia será elevada ante tan buenas expectativas, ya sabéis, en www.motoclubabadesses.com.
|
Circuito permanente de trial en Pobladura de las Regueras |
17/07/2009
|
|
|
Presentado con motivo de la celebración del Campeonato de España |
Aprovechando
nuestra presencia en la localidad de Pobladura de Las Regueras en León,
con motivo de la celebración de la última prueba puntuable para
el Campeonato de España de Trial, Todotrial.com asistió a la
convocatoria de rueda de prensa realizada por la organización. El motivo
no es otro que una magnífica noticia para el mundo del Trial, la construcción
del parque motor, circuito permanente de trial en Pobladura de Regueras.
El alcalde de Igüeña, representantes de la Junta de Castilla León, miembros del jurado de la RFME, el presidente de la Federación Motociclista de Castilla León y representantes del MC organizador presentaron este proyecto en una carpa justo delante de donde comenzarán muy pronto las obras.
Como ya sabréis por las noticias y reportajes publicados previamente en Todotrial, en Pobladura de las Regueras se contaba ya desde el año pasado con un amplia área para la práctica del trial, pero este proyecto supone mucho más.
![]() |
![]() |
Este parque contará
con un amplio aparcamiento preparado para acoger autocaravanas y los camiones
que generalmente acompañan a los participantes en competiciones y les
ofrecerán además un recinto con zonas Indoor permanentes, una
de ellas con agua, unas amplias gradas para el público, un palco para
la entrega de premios y posibles actuaciones paralelas, y, en una primera
fase, un gran edificio que dará servicio a pilotos y acompañantes
con duchas, gimnasio, etc. Este edificio acogerá también a los
miembros de la organización, jueces y prensa. En una segunda fase se
construirá otro edificio paralelo y un helipuerto. Un ambicioso proyecto que culminará si le conceden la organización de una prueba del Mundial de trial que ya han solicitado y que seguro le darán a sabiendas de la capacidad que demuestran en cada prueba. De momento esperamos que el año que viene cuando vuelva el CET tengamos ya, aunque sea parte, de esta imponente obra ya a nuestra disposición.
Deseamos mucha suerte a los impulsores de este proyecto, y damos la sincera enhorabuena a todos los trialeros que podemos contar con un área increíble para seguir entrenando en cualquier época del año. Pobladura de las Regueras y todo El Bierzo nos recibirá siempre con los brazos abiertos.

|
Adam Raga operado de la rodilla |
17/07/2009
|
|
|
Tenía una rotura en la rótula |
Adam
fue operado de la rodilla derecha en la clinica Dexeus por el doctor Monllau
este pasado miercoles día 15 de julio.
Raga, que ha estado esperando a la disputa de la última cita del campeonato de España realizada en Pobladura de las Regueras, llevaba ya varias semanas sin poder enrenar a causa de las tendinitis que constantemente le causaban los entrenos. En Pobladura sufrió dolores que le impidieron rendir al cien por cien, por lo que ahora en el descanso de verano se decidía que sería el momento ideal para someterse a la operación y poder estar así a punto para el retorno del mundial de trial en septiembre.
Afortunadamente la operación fue todo un éxito y pronto el piloto de Gas Gas podrá empezar su recuperación.
Adam se lesionó el día 4 de Abril en la primera prueba del Campeonato del Mundo celebrada en Castlewellan donde al darse con una roca se fracturó la rotula. Una lesión que pese a no haberle impedido disputar con normalidad las pruebas siguientes se fue agravando cada vez más.
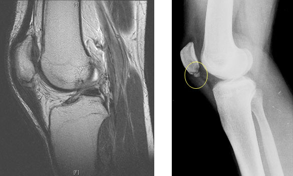
En la imagen podemos ver a Adam junto con el doctor Joan Carles Monlau, y abajo dos muestras de la lesión de Raga en la que se ve el pequeño fragmento separado en la parte inferior de la rótula en la radiografía derecha. En la primera imagen se puede apreciar la inflamación del tendón rotuliano, llegando a medir cuatro o cinco veces su tamaño. Esperamos que Adam tenga una rápida recuperación.

|
Abiertas las inscripciones para los 2 Días de Trial de Ger |
15/07/2009
|
|
|
En La Cerdanya Catalana los días 10 y 11 de octubre |
Como
ya os anunciábamos hace unas semanas, los aficionados a los triales
de larga duración estamos de enhorabuena porque se pone en marcha una
nueva prueba en un entorno de gran belleza como es la Cerdanya, en el Pirineo
de Girona, y más concretamente en la localidad de Ger.
Será los días 10 y 11 de octubre, organizado por el Motor Club Terrassa y Dos Trial y ya está a punto la página web con toda la información en www.dostrial.com. También se ha abierto el plazo de inscripciones, que pueden realizarse en dicha web y que finalizará el día 2 de octubre.
El trial tendrá 38 kilómetros de recorrido diarios, con 20 zonas por día y es abierto a todas las categorías, también clásicas, con tres niveles de dificultad, rojos, azules y amarillos. También estará permitida la inscripción de mochileros y seguidores.
El precio de la inscripción es de 125 Euros por piloto, o de 50 en el caso de mochileros y seguidores, aunque también se pueden realizar inscripciones para un día a un coste de 70 y 35 Euros respectivamente.
Para más información no dejéis de visitar www.dostrial.com y aprovechar para enviar vuestra inscripción, ya que está limitada a 200 pilotos.
|
Campeonato de Europa de Veteranos para 2010 |
14/07/2008
|
|
|
Para mayores de 40 años |
El
14º Congreso de la Unión Europea de Motoclismo, UEM, finalizó
el pasado 5 de julio en Estambul (Turquía) con la participación
de los representantes de 39 Federaciones Nacionales de motociclismo y la presencia
del actual presidente de la FIM D. Vito Ippolito, el Presidente honorífico,
D. Francesco Zerbi, y el Presidente de Honor de la UEM Jean-Pierre Mougin.
En lo que nos interesa a los trialeros, la gran novedad para 2010 es la creación de una Copa de Europa para Veteranos mayores de 40 años.
Este campeonato se celebraría junto con las pruebas del actual Campeonatoo de Europa, por tanto uniéndose a las categorías del Europeo absoluto y el Junior, que como sabéis en algunas ocasiones se celebran en la jornada previa al mundial de trial aprovechando su infraestructura, por lo que gozan de una excelente organización.
Una interesante noticia para los trialeros veteranos que tengan ganas de competir en pruebas internacionales de alto nivel.
|
Presentación Escuela y Equipo de Trial de La Nucía |
09/07/2008
|
|
|
En el centro de La Nucía |
El
pasado viernes 3 de julio se presentó en la localidad alicantina de
La Nucía el equipo de la escuela de trial de La Nucía 2009.
El acto comenzó a las 21.30h en la plaza del ayuntamiento, donde D. Antonio Forner, presidente del Motoclub Off Road La Nucía, inauguraba el acto con una presentación de los miembros del equipo y con unas palabras de agradecimiento para los numerosos patrocinadores que tiene la escuela.
También se aprovechó el evento para presentar el equipo de trial la Nucía Oximoto que esta participando en el Campeonato Territorial Valenciano.
Los pilotos de la escuela son Pau Galiana y Baptiste Llorens, ambos estan compitiendo en el campeonato de nanos por segundo año y utilizan otocicletas Gas Gas.
El monitor de la escuela es el piloto nuciero, Jaume Pérez, quien trata de transmitir toda su experiencia a estos jóvenes pilotos.
![]() |
![]() |
Por
otra parte, el equipo La Nucía - Oximoto lo forman Leo Baimbridge (Gas
Gas) y Jaume Pérez (Beta). Jaume
es líder provisional de la categoría de Veteranos B y Leo ocupa
la segunda plaza en la difícil categoría de Senior C.
Una vez realizada la presentación de todo el equipo, el Sr. Alcalde de La Nucía D. Bernabé Cano quiso pronunciar unas palabras de ánimo y apoyo a los pilotos y aprovechó para hacer un breve repaso de la trayectoria del trial en La Nucía, recordando los campeonatos de España, los dos días de trial y la gran cantidad de campeonatos territoriales celebrados en este municipio alicantino.
Una vez realizadas las fotos de rigor, el acto terminó con un vino de honor en la cervecería La Plaza.
Desde aquí queremos desear mucha suerte a estos pilotos.
|
Oferta MCE para el mes de julio |
08/07/2009
|
|
|
Equipación Montesa Repsol 2010 |
Como
cada mes, la gente de MCE
"Motorcycle Experience Shop", nos han preparado una suculenta
oferta para los lectores de Todotrial.com. Así para este mes de julio,
podemos completar nuestro equipo Montesa con las novedades de la colección
Montesa Repsol 2010.
La chaqueta es el primero de los elementos ofertados, y el más especial, pues está hecha con un material muy ligero y muy cómodo, perfecto para el trial, ya que a los trialeros nos gusta llevar el peso mínimo encima, incluso en los día más frios, algo que es totalmente posible con esta nueva chaqueta.
El
segundo elemento de oferta para este mes son los pantalones, que además
de ser de gran calidad ahora tienen rodilleras internas que se pueden quitar
o poner fácilmente.
Por
último la camiseta oficial del Team Montesa, que combinada con el pantalón
y la chaqueta son una buena oferta para aprovechar. Estas tres prendas son
oficiales del Equipo Montesa Repsol y están realizadas en una tirada
muy limitada, fabricadas en España y aunque más caras que las
anteriores colecciones, muestran una calidad superior
Para aprovecharos de estas novedades tenéis que dirigiros a MCE "Motorcycle Experience Shop" bien en su web: www.mce-shop.com, donde también encontraréis otros interesantes artículos o bien en sus instalaciones de Andorra la Vella, en la Baixada del Molí, 43.
También podéis contactar con MCE en los teléfonos +376 860 082 y 360 912, y en el email: mce@mce-shop.com.
|
Xispa se suma al Plan Moto-E con una ayuda total de hasta 1.000 Euros |
07/07/2008
|
|
|
Hasta el 30 de noviembre |
Tal
y como os comunicamos en la noticia inmediatamente siguiente a esta, el Consejo
de Ministros ha aprobado un plan de subvenciones para el sector de la moto
denominado Plan Moto-E, tras las reivindicaciones de la Asociación
de fabricantes ANESDOR.
Las ayudas del Gobierno van desde los 75 a los 250 Euros, a lo que se pueden sumar las ayudas que ofrezcan algunos fabricantes.
En marcas trialeras, Xispa a sido la primera en anunciar que se suma a la ayuda del Gobierno y que ofrecerá 250 Euros más. La marca anuncia que la ayuda para la compra de una Xispa puede por tanto llegar a los 1.000 Euros, pues en el caso de un modelo de más de 250cc como es la Xispa 290, si se suman los 750 Euros de máxima del plan Moto E resulta en una ayuda de nada menos que de 1.000 Euros.
Esta magnífica oferta será sólo válida hasta el 30 de noviembre de 2009 y resulta una inigualable oprotunidad para hacerte con tu nueva trialera Xispa. Para más información puedes contactar con cualquier concesionario oficial de Xispa o con la marca en su web: www.xispa.es.
|
El Gobierno pone en marcha el Plan Moto-E para reactivar el sector |
07/07/2008
|
|
|
Ayudas de 75 a 750 Euros |
El
Consejo de Ministros ha aprobado un plan de subvenciones para el sector de
las dos ruedas, denominado Plan Moto-E que irá de los 225 a los 750
euros siempre y cuando el comprador se desprenda de su moto vieja, cosa difícil
en el caso de las trialeras, pues tienen más valor que el que nos darán
por ellas, pero siempre es posible desprenderse de otro tipo de moto de menor
valor.
Este
programa de ayudas es una reivindicación de la Asociación Nacional
de Empresas del Sector de las Dos Ruedas (ANESDOR), que solicitó que
no se dejara al margen a un sector que en lo que va de año ha vendido
unas 81.000 motos, un 50% menos que en el mismo periodo de 2008.
Las ayudas estarán determinadas por una serie de variables en función de las características del vehículo siempre que su precio de venta no supere los 9.500 euros IVA incluido y excluido el Impuesto de Matriculación.
Esta es la tabla de ayudas:
| Segmento |
Ayudas
Estado
|
Ayuda
marcas
|
Total
Ayudas
|
Antigüedad
|
Precio
Máximo
|
| Ciclomotores |
75
|
150
|
225
|
5
|
|
| Motos hasta 250cc |
175
|
350
|
525
|
5
|
9.500
€
|
| Motos más de 250cc |
250
|
500
|
750
|
7
|
Por
su parte, ANESDOR valora muy positivamente el plan de ayudas a la compra de
motos aprobado por el Consejo de Ministros. Desde ANESDOR se venía
reclamando la urgencia de poner en marcha este plan, similar al del automóvil,
para que el mercado no se congelara ante las expectativas de los compradores
de que el precio pudiera ser rebajado.
El plan supone que, bajo determinadas condiciones, el precio de muchos de los modelos tendrán una reducción de costes para el usuario desde este lunes.
Las marcas de motocicletas y ciclomotores ya han manifestado su total disposición a colaborar en el plan aplicando por parte del fabricante los descuentos solicitados.
"Estamos muy satisfechos con la puesta en marcha del plan", ha declarado José María Riaño, el secretario general de ANESDOR. "Pedimos la ayuda a todo el mundo para que el mensaje del coste de los vehículos de dos ruedas sea trasladado a los ciudadanos. La caída que estamos sufriendo este año, superior en muchas fases al 50%, es realmente crítica y la única manera de salvar la economía del sector y de tratar de conservar la mayor parte de los empleos que genera la moto es lograr reactivar el consumo".
|
A punto los 2 Días de Trial de Camprodón |
02/07/2008
|
|
|
La gran cita trialera de agosto |
El
M.C. Abadesses nos comunica que ya se están ultimando los últimos
detalles de la preparación de este nuevo trial que promete convertirse
en todo un referente. Los Dos Días de Camprodón se celebrarán
dentro del área privada de trial que existe en esta preciosa población
situada unos pocos kilómetros más al norte de Santigosa y más
concretamente con el centro de actividades en la casa de colonias de Puig
Francó.
La prueba, que se celebrará el fin de semana del 22 y 23 de Agosto, garantiza un entorno trialero fenomenal, con zonas naturales y muy espectaculares en un terreno caracterizado por sus bonitos y frescos bosques de alta montaña.
Durante la primera jornada están previstas treinta zonas dentro de un recorrido aproximado de unos quince kilómetros al que se darán dos vueltas, mientras que la segunda jornada será algo más corta para facilitar la vuelta a casa de todos los participantes.
Se
anuncia una importante presencia de participantes, teniendo en cuenta la no
disputa este año de los 2 Días de Arinsal, por lo que la organización
recomienda no retrasarse demasiado en formalizar la inscripción, el
plazo de la cual se abrirá en breve y os anunciaremos muy pronto.
El número de pilotos es limitado y no estarán permitidos los seguidores. Se convocan tres niveles de dificultad, con un amarillo muy accesible para todos y unos azules y rojos en línea con los 3DTS.
Esta es pues una interesantísima opción para colmar nuestras ansias trialeras estivales en un trial con la garantía de su entorno y de la organización por parte del M.C. Abadesses.
En Todotrial.com os informaremos cumplidamente de la última hora sobre esta prueba.
|
Jitsie marca proveedora del CETI |
02/07/2008
|
|
|
Vestirá al personal de Octagon |
![]() |
![]() |
Jitsie, la marca lider en equipamiento de trial, accesorios y repuestos de trial se enorgullece en anunciar su nueva asociación con Octagon como proveedor oficial del Campeonato de España de Trial Indoor 2009 (CETI). Todo el personal de Octagón llevará la vestimenta de la marca Jitsie durante las pruebas, beneficiándose de la nueva colección casual de Jitsie, que estará disponible en las tiendas dentro de un par de semanas.
No solo estará el logo de Jitsie presente en las zonas, sino que habrá disponible una carpa de bienvenida en todas las pruebas del Campeonato para agentes, distribuidores y prensa, donde todo el mundo está invitado a conocer toda la gama de productos y saludar personalmente al piloto patrocinado por Jitsie, el español Albert Cabestany. El CETI comienza este próximo sábado 4 de julio en Tarragona, puedes ver el previo de la prueba pinchando aquí.
|
Remolques Castillo con Todotrial.com |
01/07/2008
|
|
|
Aprovecha la ocasión y consigue el mejor remolque |
Los
remolques Castillo son bien conocidos entre los aficionados al motociclismo,
y es que son ese remolque para desplazar nuestras motos que todos desearíamos
tener. Sus modelos carrozados han roto moldes y se han mostrado ideales para
los aficionados ya que dan la seguridad de tener nuestras "joyas"
guardadas bajo llave y a salvo de las inclemencias del tiempo.
Conscientes de que sus productos son lo mejor que los aficionados pueden conseguir, Remolques Castillo entra en Todotrial.com como sponsor para este periodo veraniego, por lo que desde hoy podrás ver su banner en las portadas de Todotrial Clásico y Actual y acceder a su web, www.inducast.com, donde tendrás toda la gama e información de sus productos.
Modelos
como el Evolution permiten cargar todo lo necesario, tanto para el trabajo
como para el tiempo libre, desde las maletas hasta las motocicletas, siendo
la solución ideal para camping, bungalow, motocross, enduro, trial,
karts, parking, industrial, muestrario comercial, imagen corporativa empresarial,
bicicletas, transporte, etc.
Su
diseño cuenta con la mejor aerodinámica y versatilidad de uso,
además de la estabilidad y seguridad, utilizando los mejores materiales
tales como el chasis y accesorios de acero inoxidable, piso y rampa de aluminio
y carrocería de composite.
Cuenta además con numerosos accesorios para guardar herramientas, cascos, y todo lo que podamos necesitar. Y si el Evolution se te queda pequeño, está disponible el modelo Magnum, el tope de gama con las mejores cualidades y más espacio aún disponible.
A parte de estos dos modelos estrella, Remolques Castillo cuenta con una amplia gama de remolques, tanto carrozados como abiertos para diferentes usos, todos ellos con las mejores cualidades. Si necesitas un remolque o crees que es hora de dar el paso a uno superior y poder disfrutar de uno carrozado, no dejes de visitar www.inducast.com.
|
7º concurso de dibujo Adam Raga |
30/06/2008
|
|
|
Tienes hasta el 4 de septiembre para presentar tu dibujo |
Por
séptimo año consecutivo se pone en marcha el concurso de dibujo
Adam Raga, que como en todas las ediciones anteriores os venimos anunciando
desde las páginas de Todotrial.com. El
plazo de presentación de los dibujos es hasta el próximo 4 de
septiembre a las 14:00 horas y la entrega de premios será el 7 de septiembre
en el Ayuntamiendo de Ulldecona, a las 23:30 horas, con la presencia de Adam
Raga.
Las bases del concurso son las siguientes:
1.
El Ayuntamiento de Ulldecona, de acuerdo con Adam Raga, convoca un concurso
de dibujos de tipo caricatura y de aspecto simpático sobre la figura
de Adam Raga con su moto de trial, con la finalidad de hacer adhesivos y otros
artículos publicitarios.
2. Podrán participar en este concurso tanto de forma individual como
colectiva, todas aquellas personas que lo deseen.
3. El original del diseño se tendrá que presentar en formato
A4.
4.
Podéis encontrar inspiración en la página web www.adamraga.com,
galería imágenes de calidad.
5. Los diseños podrán ser librados personalmente o enviarse
a portes pagados (y correctamente empaquetados para evitar desperfectos),
al Ayuntamiento de Ulldecona, Mayor 49, 43550 Ulldecona. El término
de presentación es el día 4 de septiembre
de 2009 a las 14:00 horas.
6. Los dibujos premiados quedarán en propiedad de Adam Raga y podrá
hacer con ellos el uso que crea conveniente. El resto de trabajos se podrán
retirar hasta el 18 de septiembre en el Ayuntamiento de Ulldecona.
7. Los premios serán los siguientes: 1º: 400 € y camiseta
Hebo, 2º: 100 € y camiseta Hebo, 3º: 50 € y gorra Adam
Raga.
8. Los premios serán entregados el lunes 7 de septiembre a las 23:30
horas al Salón de Plenos del Ayuntamiento de Ulldecona por el mismo
Adam Raga.
9. El jurado estará formado por personas relacionadas con el mundo
del trial y del diseño.
10. El jurado podrá declarar desierto el premio si considera que los
trabajos presentados no tienen suficiente nivel de calidad. El veredicto del
jurado es inapelable.
11. El hecho de participar en el concurso supone la aceptación de las
bases, del veredicto, y también de las decisiones del jurado.
¡Si quieres participar date prisa, ponte ya manos a la obra!
|
Dougie Lampkin protagonista en el famoso programa inglés de TV, "Fifth Gear" |
26/06/2009
|
|
|
Con el cómico Ross Noble |
Dougie
Lampkin fue el protagonista de una de las emisiones del famoso programa Fith
Gear de la cadena de TV británica Channel Five, que se emite los lunes
en hora de máxima audiencia. Se trataba de la segunda vez en la que
Dougie aparecía en este programa dedicado al mundo del motor tras participar
en el pasado mes de febrero con Vicki Butler-Henderson.
Dougie se enfrentaba esta vez a un reto diferente, ya que el antes multi campeón del mundo tenía que enseñar al cómico Ross Noble los detalles más técnicos para hacer trial. El actor de Geordie, que ahora vive en Australia con su mujer e hijo, es un experimentado motorista y puso a Lampkin en aprietos con una lista de preguntas.
Noble es una estrella mundial que hace giras regularmente así como apariciones en radio y TV en shows como Jack Dee Live at the Apollo (La vida de Jack Dee en el Apolo), Have I Got News for You (Tengo noticias para Vd.) y Im Sorry I Havent a Clue (Lo siento pero no tengo ninguna pista). Cuando no está actuando, Noble es un ávido motociclista y tiene las cicatrices que lo atestiguan, aunque no producidas por motos de trial, se las produjo cuando estaba en su granja en Australia.
Lampkin hizo equipo con Noble en un lugar no muy apropiado del parque Haigh Country, cerca de Wigan, donde Dougie habia preparado unos cuantos obstáculos artificiales para que el cómico los abordara bajo sus indicaciones. Equipado con una nueva Beta Evo 2T, Ross hizo notables progresos a lo largo del día, alcanzando un buen entendimiento con el campeón de trial de 33 años.
Ojalá también en España tuviésemos programas de TV a nivel nacional dedicados al motor en máxima auciencia y contasen además con nuestros campeones trialeros. Ya podéis ver el video resumen aquí: